Was tun bei einem Arzneimittelexanthem?
Kommt es bei einem Kind zu einem Arzneimittelexanthem, muss man schnell reagieren. Nur wenn der Auslöser eindeutig identifiziert wird, kann die Exposition beendet und das Risiko von Schäden an Leber, Niere oder anderen Organen vermieden werden.

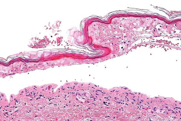
Die Arzneimittelexanthem-Formen des Stevens-Johnsons-Syndrom bzw. der toxischen epidermalen Nekrolyse (TEN) gehen mit einer subepidermalen Spaltbildung zwischen Epidermis und Dermis einher.
Professor Dr. Maja Mockenhaupt vom Dokumentationszentrum schwerer Hautreaktionen an der Universitätsklinik für Dermatologie und Venerologie in Freiburg beschreibt in ihrer Übersichtsarbeit blasenbildende Arzneimittelreaktionen (1).
Dazu gehören das Stevens-Johnson-Syndrom (SJS, betroffene Körperoberfläche < 10 %) und die toxische epidermale Nekrolyse (TEN, betroffene Körperoberfläche > 30 %), aber auch Schleimhautläsionen im Nasen-, sowie bronchialen und analen Bereich.
Prodromi helfen bei der Suche nach dem Agens
Die Suche nach dem Auslöser des Arzneimittelexanthems ist ein wichtiger Teil der Therapie, denn das Absetzen der verantwortlichen Substanz steht an erster Stelle für beide Krankheitsbilder.
Weitere therapeutische Massnahmen sind in der Tabelle zusammengefasst. Eine zeitliche Eingrenzung kann durch die Frage nach Prodromi ermöglicht werden. Allgemeines Unwohlsein, Kopf- und Halsschmerzen sowie Fieber sind oft der Beginn der Reaktion.
Fleckige und flache kokardenförmige Erytheme treten hingegen in der Regel etwa ein bis drei Tage später auf und sollten nicht mit einem Virusexanthem verwechselt werden.
Differenzialdiagnosen bei blasenbildenden Reaktionen
- Erythema exsudativum multiforme majus: Typisch sind erhabene Kokarden, die immer von der gesunden Haut abgrenzbar sind. Die Läsionen treten hauptsächlich an den Extremitäten auf. Im Gegensatz zu SJS und TEN ist das Nikolski-Zeichen negativ. Bei beiden Krankheitsbildern treten jedoch Schleimhauterosionen auf.
- Generalisiertes bullöses fixes Arzneimittelexanthem: Es betrifft meist weniger als 10 % der Haut und ist mit eher schlaffen Blasen verbunden. Der Allgemeinzustand ist in der Regel besser.
- Staphylogene toxisch epidermale Nekrolyse (SSSS): Die Spaltbildung erfolgt subkorneal und betrifft weniger tiefer liegende subepidermale Schichten. Das Nikolski-Zeichen ist häufig positiv, bei sehr oberflächlicher Hautablösung jedoch "trocken".
Lieber biopsieren!
Kennt man den Indextag, lassen sich jene Medikamente ausschliessen, die die Kinder aufgrund der Erstsymptome erhalten haben (z.B. Fiebersenker, Analgetika, Schleimlöser). Verantwortlich für die Reaktion sind hauptsächlich Antikonvulsiva (Carbamazepin, Lamotrigin, Phenobarbital) und Sulfonamide (einschliesslich Sulfasalazin).
Im Durchschnitt liegen ein bis vier Wochen zwischen der Einnahme und dem Auftreten der Hautreaktionen. Zur Abklärung, insbesondere bei schweren Reaktionen, empfiehlt die Expertin eine histologische Untersuchung, bei der die charakteristischen nekrotischen Keratinozyten auffallen. Die Angst vor einer störenden Narbe durch die Biopsie wiegt weniger schwer als die Gefahr einer Fehldiagnose. Die Letalität der toxischen epidermalen Nekrolyse liegt bei etwa sechs Prozent.
DRESS: Hautausschlag mit peripherer Eosinophilie
Die Symptome bei einer DRESS (drug reaction with eosinophilia and systemic symptoms) können variabel sein. Es können Rötungen und Ödeme im Gesicht sowie an Armen und oberem Rumpf auftreten, begleitet von Fieber und starkem Krankheitsgefühl. Im Verlauf breiten sich die Hautläsionen auf den gesamten Körper aus, z.B. in Form von kompletter Erythrodermie, Kokarden vor allem an den Beinen, urtikaria-ähnlichen Reaktionen mit Juckreiz, Schleimhautläsionen im Mund und Rachen sowie Lymphknotenschwellungen (zervikal, axillär, inguinal) oder exfoliative Dermatitis. Die zeitversetzte Symptomatik erschwert die Diagnose. Entscheidend sind eine periphere Eosinophilie und die Beteiligung innerer Organe, insbesondere der Leber.
Bei Verdacht auf DRESS sind die nächsten Schritte die Durchführung eines Differenzialblutbilds und eines Urinstatus sowie die mehrfache Bestimmung von Leber- und Nierenwerten im Verlauf. Eosinophilenzahlen von mehr als 1,5 x 109 /l wirken direkt toxisch auf innere Organsysteme. Bei der Diagnose hilft der DRESS-Validierungsscore. Allerdings kann die Eosinophilie mit einer Verzögerung von 12 Wochen auftreten. Zu diesem Zeitpunkt können sich erhöhte Leberwerte bereits wieder normalisiert haben.
Aktiv nach kardialen Veränderungen suchen
Ein vollständiges Leberversagen ist noch Wochen nach dem Absetzen des auslösenden Agens möglich. Die Nierenbeteiligung äussert sich als Hämaturie mit steigenden Retentionswerten und kann klinisch bis zu einem akuten Organversagen führen. Das Herz ist seltener betroffen, aber möglicherweise wird die Schädigung aufgrund unspezifischer Symptome häufig übersehen. Die Dermatologin empfiehlt daher, aktiv nach kardialen Veränderungen zu suchen, z.B. durch Blutdruck- und Frequenzkontrollen, Bildgebung oder die Bestimmung des NT-proBNP (N-terminal prohormone of brain natriuretic peptide).
Bei DRESS sind häufig Antikonvulsiva (Carbamazepin, Oxcarbazepin, Lamotrigin, Phenobarbital), Sulfasalazin oder verschiedene Antibiotika (Dapson, Vancomycin, Minocyclin) für die Reaktion verantwortlich. Die Letalität liegt laut Literatur bei zwei Prozent. Die lange Latenz von bis zu zwölf Wochen zwischen Einnahme und Symptombeginn macht die Diagnose jedoch schwierig. Differenzialdiagnosen umfassen:
- makulopapulöse Exantheme, bei denen jedoch keine Beteiligung anderer innerer Organe vorliegt
- Kawasaki-Syndrom
- pediatric inflammatory multisystem syndrome (bei Covid-19)
Bei der toxischen epidermalen Nekrolyse und DRESS sind folgende Massnahmen zu ergreifen:
| allgemein | lokal | systemisch | Hilfe bei möglichen Komplikationen | |
| TEN | • Überweisung an Intensiv- oder Verbrennungsspezialisten • Erhöhung der Raumtemperatur auf 30–32 °C (Auskühlung), • Lagerung auf Luftkissenbett oder aluminiumbedampfter Folie • Volumen zum Ausgleich von Elektrolyt- und Eiweissverlusten • frühe Sondenernährung | • Verwendung von antiseptischen Lösungen/Gelen für Haut und Schleimhaut (Mundspülungen) • «Verbrennungsbad» • Öffnen praller Blasen bei Erhalt der Epidermis | • Analgesie • Antibiotika bei gesicherter Infektion nach Antibiogramm • bei fortschreitender Hautreaktion möglicherweise kurzzeitige Gabe von Ciclosporin A (10 Tage), oder ggf. auch von Gluokokortikoiden (ca. 3 Tage, jedoch schlechtere Evidenz) | • ophthalmologisches Konsultation bei Augenbeteiligung (Konjunktivitis, Blepharitis, Hornhautläsionen) • periphere Zugänge und strikte Hygienemassnahmen, zur Vermeidung nosokomialer Infektionen • künstliche Tränen bei Sicca-Syndrom • langfristig drohen dennoch Schleimhautstrikturen, Pigmentstörungen und Nagelverlust |
| DRESS | bei Vorliegen einer exfoliativen Dermatitis: siehe TEN | • hochpotente Glukokortikoide | • je nach Klinik möglicherweise Glukokortikoide erforderlich (bis zu fünf Monate, dann langsam ausschleichen) • bei Juckreiz: Gabe von Antihistaminika | • regelmässige Überprüfung des Blutzuckerspiegels und der Schilddrüsenwerte, um endokrinologische Funktionsstörungen (Hypo-/Hyperthyreose, Diabetes mellitus) nicht zu übersehen |
- Mockenhaupt M. Schwere kutane Arzneimittelreaktionen bei Kindern [Severe cutaneous drug reactions in children]. Monatsschr Kinderheilkd. 2023;171(5):439-451. German. doi: 10.1007/s00112-023-01753-3