Bauchschmerzen waren Spirochäten-bedingt
Auch bei Bauchkrämpfen und Stuhlauffälligkeiten kann die Diagnostik langwierig sein, und die Diagnose überraschen. Das zeigt der Patientenfall eines 29-jährigen Mannes in einer homosexuellen Beziehung, bei dem schlussendlich eine anorektale Spirochätose entdeckt wurde.

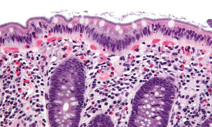
Eine Kolonisierung der kolorektalen Schleimhaut mit Spirochäten ist endoskopisch nicht erkennbar. Doch histologisch fällt der basophile Saum auf dem Bürstensaum aufliegend ins Auge.
Ein 29-Jähriger hatte bereits seit drei Monaten immer wieder kolikartige Bauchschmerzen, als er sich seinem Hausarzt vorstellte (1). Mal habe er Durchfall, mal Obstipation, und die Stuhlfrequenz liege mittlerweile bei drei bis vier Mal täglich, berichtete er.
Biopsat aus Koloskopie wies die Richtung
Die Beschwerden traten unabhängig von den Mahlzeiten auf, seine Ernährungsgewohnheiten hatte er nicht verändert. Er nahm keine regelmässige Medikation ein, war nicht im Ausland gewesen und hatte eine unauffällige Familienanamnese hinsichtlich Magen-Darm-Erkrankungen. Der junge Mann lebte in einer homosexuellen Beziehung.
Anamnese und körperliche Untersuchung blieben leer, der Patient wies einen guten Ernährungs- und Allgemeinzustand auf. Darmgeräusche und abdomineller Palpationsbefund waren ebenso regelrecht wie die digital-rektale Untersuchung. Auch das Labor brachte keinen zielführenden Hinweis: Das Differenzialblutbild zeigte einen Normalbefund, die serologische Abklärung auf Zöliakie ergab keine wegweisenden Autoantikörper, der kürzlich durchgeführte HIV-Test war negativ.
Das Calprotectin im Stuhl war nicht erhöht, die umfangreiche stuhlbakteriologische Untersuchung blieb ebenso ergebnislos wie die parasitologischen Tests. Da die Bauchbeschwerden den Mann erheblich belasteten, entschied er sich nach ausführlicher Beratung für eine Darmspiegelung.
Die immunhistochemische Untersuchung der entnommenen Biopsate brachte dann den überraschenden Befund ans Licht: Das Kolonepithel des Patienten war von Spirochäten besiedelt. Nachdem die Diagnose intestinale Spirochätose feststand, behandelten die Kollegen den Mann mit Metronidazol 500 mg viermal täglich über einen Zeitraum von zehn Tagen. Bereits kurz nach Ende der antibiotischen Therapie war der Patient komplett und anhaltend beschwerdefrei.