Blasenkrebs: In-silico-Biomarker sagt neoadjuvante Komplettremission vorher
Ein Forscherteam hat mithilfe von Expressionsdaten und Bildern von HE-Schnitten einen klinischen Vorhersagealgorithmus entwickelt. Dieser könnte einen wichtigen Beitrag zur Behandlung von muskelinvasivem Blasenkrebs leisten, indem er das Ansprechen auf eine neoadjuvante Chemotherapie vorhersagt.

Die neoadjuvante Chemotherapie (NAC), gefolgt von einer radikalen Zystektomie, ist eine gängige Behandlungsmethode beim muskelinvasiven Blasenkrebs. Allerdings erreichen nur etwa 26 bis 38 Prozent der Patienten ein komplettes pathologisches Ansprechen (pCR).
«Ein verlässlicher prädiktiver Biomarker des Komplettansprechens auf die NAC könnte es ermöglichen, Personen als Kandidaten für einen Erhalt der Blase auszumachen», erklärt Prof. Dr. Bishoy Morris Faltas, Weill Cornell Medicine, New York (1).
Das Forscherteam nutzte Daten aus der Phase-2-Studie S1314, in der Patienten mit muskelinvasivem Blasenkrebs vier Zyklen Chemotherapie erhielten. Sie entwickelten ein Deep-Learning-Modell, das aus drei Zweigen bestand (siehe Kasten). Jeder Zweig war ein neuronales Netzwerk mit einer eigenen Architektur, das aus einer anderen Datenquelle lernte. Im Anschluss kombinierte das Team die Ausgangsdaten der drei Zweige, um eine individuelle pCR-Vorhersage zu generieren.
Das neuronale Netzwerk
- Genexpressionszweig: generierte eine Vorhersage aus RNA-Expressionsdaten.
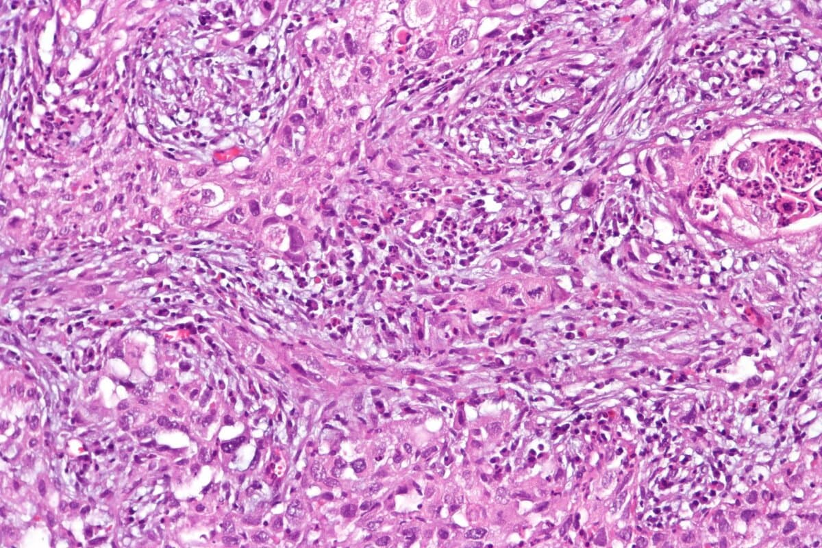
- Histopathologie: Eine als ResNet50 bekannte Architektur sollte lernen, die wichtigsten Eigenschaften kompletter Objektträger mit HE-gefärbten Gewebeschnitten zu identifizieren.
- Histopathologie: Ein vortrainiertes neuronales Netzwerk namens HoverNet ist in der Lage, bestimmte Zelltypen anhand ihrer Kernmorphologie zu unterscheiden. Die Zelltypen wurden kartografisch erfasst, in Regionen unterschiedlicher Wichtigkeit unterteilt und die Häufigkeit jedes Zelltyps ermittelt.
Entscheidungsfindung ist nachvollziehbar
Das Modell war dabei so konzipiert, dass die Gewichtung der einzelnen Zweige abgelesen werden kann. Es ist auch interpretierbar, sodass die Parameter und biologischen Grundsätze, die in die Entscheidungsfindung einbezogen wurden, nachvollziehbar sind, so Prof Faltas.
Das erste neuronale Netzwerk, das auf RNA-Expressionsdaten basierte, erwies sich als der einflussreichste Zweig für die Gesamtvorhersage. Es identifizierte den Transkriptionsfaktor TP63 als wichtigen Faktor für die Vorhersage des kompletten pathologischen Ansprechens.
TP63 ist ein Master-Regulator des Differenzierungsprogramms von Basalzellen und spielt eine wichtige Rolle beim Blasenkrebs. Eine Gene-Set-Enrichment-Analyse (GSEA) bestätigte die Assoziation dieses Signalwegs mit dem kompletten Ansprechen.
Hoffnung, dass KI Strategien zum Blasenerhalt ermöglicht
Der dritte Zweig des Modells nutzte das Tumor-Stroma-Verhältnis zur Vorhersage. In Bereichen, denen es eine hohe Bedeutung zumass, korrelierte ein hoher Stromaanteil mit dem Nicht-Erreichen der pCR. «Dies zeigt, dass das Modell autonom etwas über die Tumorbiologie gelernt hat», sagt der Referent
Im nächsten Schritt soll das Modell prospektiv validiert werden.Das Forscherteam plant ausserdem, ctDNA-Analysen und genomische Daten in die Vorhersage einzubeziehen. «Wir hoffen, dass präzise, auf KI beruhende integrative Biomarker in naher Zukunft Strategien zum Blasenerhalt ermöglichen», schliesst Prof. Faltas.
Faltas BM. ASCO Genitourinary Cancers Symposium 2024; Abstract 533