Farbstoff klärt rätselhaften Gewichtsverlust

wikimedia/Ed Uthman
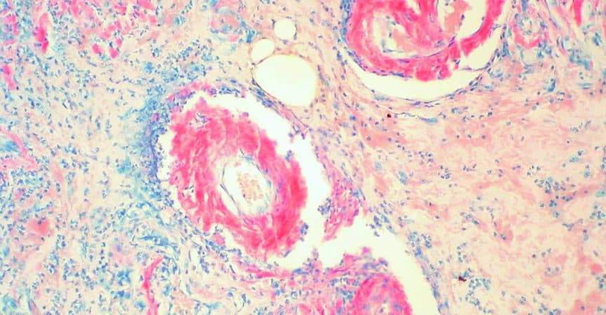
Mit dem Farbstoff Kongorot lassen sich die Amyloidablagerungen nachweisen – in diesem Fall im Magen.
Bei starkem Gewichtsverlust in kurzer Zeit denkt man zuerst an eine Krebserkrankung. Es gibt aber noch eine andere lebensbedrohliche Ursache.