Eine sehr spezielle Therapie hilft bei der seltenen Alveolarproteinose

wikimedia commons/Nephron
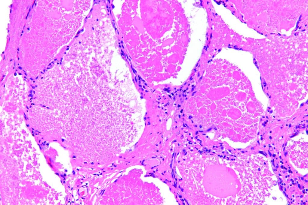
Intraalveolär findet sich ein amorphes eosinophiles feingranuläres Material mit reichlich Lipiden.
Rechts waschen, links beatmen und später genau andersherum: Klingt befremdlich, ist aber für die meisten Patienten mit einer pulmonalen Alveolarproteinose die beste Option. Denn die Lavage räumt die Bläschen effektiv und anhaltend frei.