Wie Pankreaskarzinomen entgegenwirken?
Das Pankreaskarzinom ist auf dem Vormarsch. Schon heute steht es auf Platz 3 der tumorbedingten Todesursachen, bis 2050 wird es Spitzenreiter sein. Gegensteuern lässt sich auf zweierlei Weise: Risikofaktoren zu minimieren und die Früherkennung zu verbessern. Bei Letzterer könnten bald Biomarker und künstliche Intelligenz helfen.

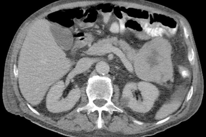
Dieses Azinuszellkarzinom im Bereich des Pankreasschwanzes stellt sich in der CT als zentral hypodense, regressiv veränderte Raumforderung mit relativ glattem Rand dar.
Die allermeisten Pankreaskarzinome entstehen sporadisch und ohne Familienanamnese, ist in einer neuen Übersichtsarbeit zur Prävention des Pankreaskarzinom zu lesen (1). Dabei werden die Karzinome in der Regel erst spät erkannt und haben neben dem Mesotheliom die niedrigste Überlebensrate unter allen Krebserkrankungen.
Immer mehr Junge sind betroffen
Betroffen sind immer mehr junge Männer und Frauen: Bei den 25- bis 29-Jährigen stieg zwischen 1995 und 2014 die Zahl der Erkrankungsfälle pro Jahr um 4,3 Prozent. Bei den 30- bis 34-Jährigen betrug der Zuwachs 2,5 Prozent, bei den 35- bis 39-Jährigen 1,3 Prozent und bei den 40- bis 84-Jährigen nur ein Prozent. Warum das Malignom eine besonders starke Zunahme bei jungen Erwachsenen zeigt, ist allerdings unbekannt.
Für die Primärprävention des sporadischen Pankreaskarzinoms gibt es aber effektive Möglichkeiten. Die beeinflussbaren Risikofaktoren sind bekannt und reichen vom Tabakrauchen bis zum metabolischen Syndrom. Insgesamt können Lebensstilveränderungen das Pankreaskrebs-Risiko um 40 Prozent und mehr reduzieren.
Rauchen
26 Prozent der Pankreaskrebs-Todesfälle sind durch Rauchen verursacht. Tabakkonsum verdoppelt das Risiko für ein Pankreaskarzinom, bei stärksten Rauchern verfünffacht es sich sogar. Wird das Rauchen aufgegeben, fällt das Risiko nachweislich ab. Passivrauchen in der Kindheit geht zudem mit einem erhöhten Pankreaskrebs-Risiko im Erwachsenenalter einher. Dies ist umso bedeutender, als dass 40 Prozent der Kinder und Jugendlichen mit mindestens einem rauchenden Elternteil zusammenleben.
Alkohol
Drei bis fünf Prozent der Pankreaskarzinome werden durch Alkohol verursacht. Mehr als drei Drinks/Tag steigern das Risiko dafür signifikant. Kommt Rauchen hinzu, ist das Pankreaskrebs-Risiko sogar schon bei geringem bis moderatem Alkoholkonsum erhöht. Tabak- und Alkoholgebrauch begünstigen zudem die Entwicklung einer chronischen Pankreatitis, die ebenfalls mit einem erhöhten Pankreaskrebs-Risiko assoziiert ist.
Adipositas und metabolisches Syndrom
Zwischen Übergewicht (BMI ≥ 25 kg/m²) und Pankreaskrebs gibt es eine Dosis-Wirkungsbeziehung: Pro 5 kg/m2 Übergewicht steigt das Risiko um zehn Prozent an. Bei adipösen Patienten mit NASH oder Diabetes können bariatrische Operationen das Risiko um 50 Prozent verringern. Auch das metabolische Syndrom erhöht das Risiko. Kommt der Patient in Remission, bildet es sich wieder zurück.
Diabetes
Ein über fünf Jahre bestehender Typ-2-Diabetes steigert das Risiko für ein Pankreaskarzinom bis zum Zweifachen. Wird der Zucker gut eingestellt, sinkt die Gefahr wieder. Doch ein Diabetes ist nicht nur Risikofaktor für das Pankreaskarzinom. Umgekehrt können Pankreastumoren über diabetogene Mediatoren selbst einen Diabetes auslösen.
Ein neu diagnostizierter Diabetes nach dem 50. Lebensjahr muss deshalb immer aufhorchen lassen: Er kann das Symptom eines Pankreastumors sein. Allgemein gilt: Wer nach dem 50. Lebensjahr einen Diabetes entwickelt, hat in den folgenden drei Jahren ein um das 5-Fache erhöhtes Risiko für ein Pankreaskarzinom. Bei gleichzeitigem Gewichtsverlust steigt es sogar auf das 10- bis 25-Fache.
- Scherübl H Prävention des Pankreaskarzinoms [Prevention of pancreatic cancer]. Dtsch Med Wochenschr. 2023 Mar;148(5):246-252. German. doi: 10.1055/a-1975-2366