Chronische Pankreatitis: Psychosoziale Interventionen sollten Teil der Behandlung sein
Ein aktueller Review im New England Journal of Medicine fasst die nach der Symptomschwere ausgerichtete Therapie zusammen. Neben der medikamentösen, endoskopischen und/oder chirurgischen Behandlung sind bei vielen Betroffenen auch psychotherapeutische Ansätze wichtig.

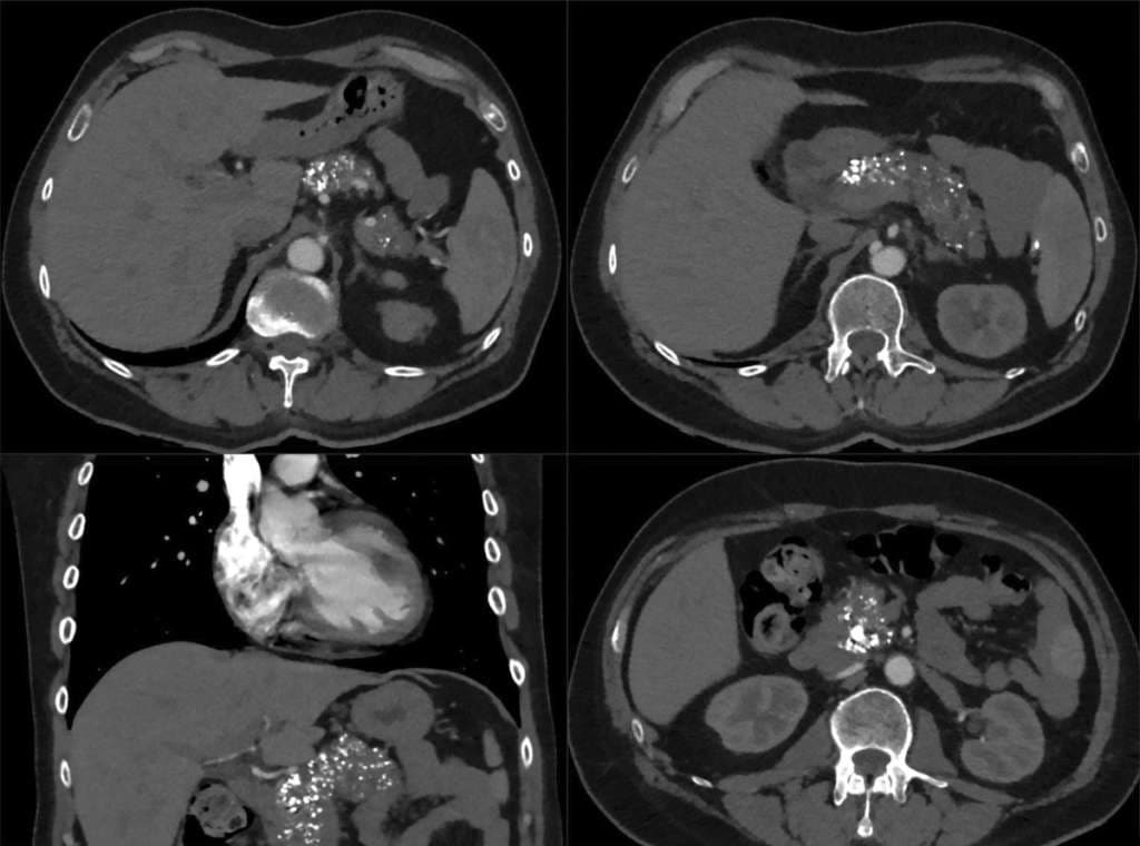
Der Verdacht auf eine chronische Pankreatitis lässt sich anhand multipler Verkalkungen der Pankreasgänge bestätigen, die in der kontrastmittelgestützten CT sofort ins Auge fallen.
Eine chronische Pankreatitis entwickelt sich in der Regel aus rezidivierenden akuten Pankreatitiden, typischerweise innerhalb von drei bis fünf Jahren nach der initialen Episode. In der Bildgebung zeigen sich Kalzifikationen der Pankreasgänge, duktale Dilatationen und/oder eine parenchymale Atrophie. Die Risikofaktoren umfassen Alkohol (bei 42–77% der Betroffenen), Rauchen (> 60%) und genetische Mutationen (10%).