Dupilumab beseitigte allergische bronchopulmonale Aspergillose (ABPA)
Bei allergischer bronchopulmonaler Aspergillose (ABPA) kommen primär orale Steroide zum Einsatz – mit sehr unterschiedlichem Erfolg und den bekannten Nebenwirkungen. Eine wirksame Alternative könnte die Blockade von IL-4/IL-13 sein, wie das Beispiel zweier erkrankter Zwillingsschwestern eindrücklich zeigt.

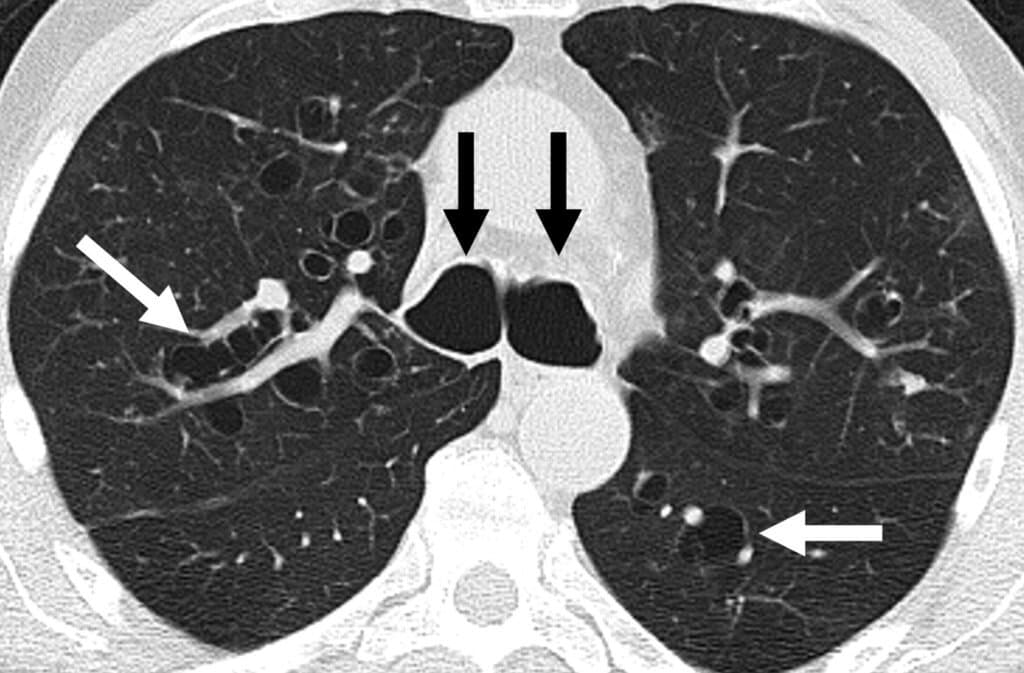
Das CT der ABPA-Patientin zeigte zentrale Bronchiektasen.
Die erste von zwei eineiigen Zwillingsschwestern suchte die pneumologische Klinik bereits im Jahr 2014 auf. Sie klagte über ein langjähriges, aber unzureichend kontrolliertes Asthma, so Dr. Pedro Lamothe von der Emory University School of Medicine in Atlanta und Kollegen.
Die Untersuchung der 61-jährigen Frau ergab ein FEV1 von 65%, ein Gesamt-IgE von 496 IU/ml und eine Eosinophilie mit 1.340 Zellen pro Mikroliter. In der Thorax-CT zeigten sich zentrale Bronchiektasen. Spezifisches IgE und Hauttest waren positiv für Aspergillus, woraufhin die Ärzte eine allergische bronchopulmonale Aspergillose diagnostizierten.
Dauerhafter Erfolg mit Dupilumab
Trotz Kombinationstherapie mit Prednison, Itraconazol und Omalizumab persistierten Symptome und Exazerbationen. Deshalb schlugen die Ärzte der Patientin den Wechsel auf Mepolizumab vor, die Frau stimmte zu. Daraufhin konnte das Steroid zunächst abgesetzt werden.
Als nach zwei Jahren jedoch erneut Exazerbationen auftraten, wurde die Patientin versuchsweise auf Dupilumab umgestellt. Der Erfolg trat rasch und dauerhaft ein: Knapp vier Jahre nach Beginn der Behandlung mit dem bei Asthma zugelassenen Antikörper ist sie nach wie vor frei von Exazerbationen – auch ohne Prednison. Ihre sonstigen Beschwerden sind auf ein Minimum reduziert, die Lungenfunktion hat sich normalisiert. Das Gesamt-IgE liegt unter 150 IU/ml und das Aspergillus-spezifische IgE lässt sich nicht mehr nachweisen.
Die andere Schwester stellte sich erst 2021 bei den Pneumologen vor. Auch sie litt zu diesem Zeitpunkt bereits jahrelang an einem eosinophilen Asthma mit häufigen Exazerbationen. Wegen steroidbedingten avaskulären Nekrosen hatte sie beidseits Hüftendoprothesen erhalten. Auch bei ihr wurde eine ABPA diagnostiziert, eine biologische und antimykotische Therapie lehnte sie jedoch ab. Ein Jahr später war sie immer noch steroidabhängig und hatte inzwischen einen Prädiabetes entwickelt.
Nachhaltiger Effekt der IL-4/IL-13-Blockade
Die unterschiedlichen Verläufe über einen Zeitraum von immerhin acht Jahren sprechen für den nachhaltigen Effekt der IL-4/IL-13-Blockade: Die mit Dupilumab behandelte Schwester ist seit fast vier Jahren exazerbationsfrei. Sie hat zwar noch die Bronchiektasie aufgrund der ABPA-bedingten Vernarbung, weist aber keine Zeichen einer persistierenden Entzündung mehr auf.
Ihre nicht mit einem Biologikum behandelte Schwester benötigt hingegen weiterhin Steroide. Die CT zeigt zylindrische Bronchiektasen und multiple Areale mit mukoider Impaktion. Ausserdem fällt als Folge der Inflammation im Bereich der kleinen Atemwege ein Baumknospen-Zeichen auf (Tree-in-Bud-Muster).
Die Diagnose einer ABPA bei eineiigen Zwillingen spricht abgesehen von umweltbedingten Ursachen auch für eine genetische Komponente der Erkrankung. Allerdings ist diese Einschätzung noch umstritten. Die Wirkung von Dupilumab führen die Autoren auf zwei Mechanismen zurück. Einer davon ist die Inhibition von IL-13, das die Expression des Muc5ac-Gens hochreguliert. Bei dem anderen geht es um die Reduktion der IgE-Produktion, ausgelöst durch eine Hemmung der lokalen B-Zell-Differenzierung.
Lamothe PA et al. Allergic bronchopulmonary aspergillosis in identical twins: Effectiveness of dupilumab. J Allergy Clin Immunol Pract. 2023 May;11(5):1556-1558.e2. doi: 10.1016/j.jaip.2022.12.049