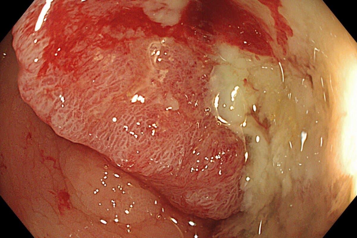
Zwei neue Tests zur Früherkennung des kolorektalen Karzinoms
Zwei Studien haben nichtinvasive Tests vorgestellt, die künftig die Darmkrebsvorsorge zumindest ergänzen könnten. Die erste neue Option, ein Bluttest, könnte von manchen Patienten dabei besser angenommen werden als eine Koloskopie. Der zweite, ein DNA-basierter Stuhltest, übertrifft die Sensitivität des bisher verwendeten Stuhltests FIT bei der Erkennung von kolorektalen Karzinomen deutlich.

Der Bluttest (1) und der Stuhltest (2) wurden in zwei Artikeln derselben Ausgabe des New England Journal of Medicine vorgestellt.
Die beiden Tests detektieren DNA-Marker, die typisch für kolorektale Karzinome sind. Sie konnten kolorektale Tumoren mit einer Sensitivität von 83 Prozent (Bluttest) und 93,9 Prozent (Stuhltest) aufspüren. Falsch negative Ergebnisse wurden bei 10,4 (Bluttest) bzw. 7,4 (Stuhltest) Prozent der Personen festgestellt. Nachholbedarf in der Detektion haben beide neue Tests im Vergleich zur Koloskopie bei präkanzerösen Läsionen.
Nur ein Drittel geht zur Vorsorge
Das kolorektale Karzinom gehört in den Industrieländern zu den häufigsten Krebsarten. In der Schweiz erkranken jedes Jahr rund 2.500 Männer und 2.000 Frauen neu.
Im Gegensatz zur USA, wo sich die Inzidenz in den letzten 30 Jahren fast halbiert hat, hat sich die Zahl neu entdeckter kolorektaler Karzinome hierzulande in den letzten Jahren kaum verändert (3).
Zum Teil könnte das daran liegen, dass Früherkennungsprogramme in der Schweiz nur schlecht angenommen werden. Am kostenfrei angebotenen Kolorektalkarzinomscreening bestehend aus Koloskopie oder Stuhltest (fecal immunochemical test, FIT), nimmt etwa nur etwa ein Drittel der berechtigten Personen teil.
Bluttest identifiziert kolorektale Karzinome bei 83,1 Prozent
In der klinischen Studie ECLIPSE testeten Forscher die Empfindlichkeit des Bluttests LUNAR-2 zur Detektion von zellfreier Tumor-DNA, die von kolorektalen Karzinomen abgegeben wird und auch ins Blut übergeht (Liquid biopsy). Er erkennt unter anderem genomische Aberrationen, sowie krebstypische Fragmentierungs- und Methylierungsmuster.
Untersucht wurden insgesamt 7.861 US-Amerikaner mit durchschnittlichem Darmkrebsrisiko, die sich einem Routine-Screening unterzogen (Alter 45-84 Jahre, Durchschnittsalter 60 Jahre, 53,7 % Frauen).
Bei insgesamt 54 von 65 Teilnehmern, bei denen im Zuge der Koloskopie ein kolorektales Karzinom entdeckt wurde, lag zusätzlich auch ein positives Ergebnis im cfDNA-Bluttest vor (83,1 %). Letzterer war dabei auch in der Lage, alle fortgeschrittenen Kolorektalen Karzinome (Stadium II und III) zu detektieren. Bei Personen mit einem Karzinom im Stadium I fiel er hingegen nur bei 65 Prozent positiv aus.
Keine Unterschiede gab es in der Empfindlichkeit des Bluttests hinsichtlich der Lage des Primärtumors, des histologischen Grades, oder der Demografie der Teilnehmer.
Von den Teilnehmern ohne fortgeschrittene kolorektale Neoplasien bei der Koloskopie hatten 10,4 Prozent einen positiven Test, Personen mit gänzlich negativem Koloskopie-Befund zu 10,1 Prozent.
«Nur geringer Wert bei der Detektion von Krebsvorstufen»
Bei den 1.116 Personen, bei denen in der Koloskopie fortgeschrittene präkanzeröse Läsionen detektiert wurden, hatten hingegen nur 13,2 Prozent einen positiven Bluttest – ein Ergebnis, das unter anderem die American Gastroenterological Association als zu wenig erachtet.
In einem Statement schreibt die Gesellschaft, dass die Koloskopie die Erkennung und Entfernung von präkanzerösen Polypen sowie die Identifizierung von Krebs in einem frühen Stadium ermöglicht, in dem er noch am besten behandelbar ist. Der vorliegende Bluttest hat für die AGA für die Erkennung von Krebsvorstufen nur geringen Wert. Bei der Darmkrebsvorsorge ist er für sie damit nicht mit der Koloskopie austauschbar.
Laut den Studienautoren kommt er aber möglicherweise als erstes Screening-Instrument für Personen in Frage, die eher zögerlich sind, eine Koloskopie durchführen zu lassen. Dass viele Patienten Bluttests zur Darmkrebsfrüherkennung positiver gegenüberstehen als einer Koloskopie, ist bereits aus früheren Studien bekannt.
Verbesserte Testempfindlichkeit gegenüber dem FIT
In derselben Ausgabe veröffentlichte das NEJM auch die Ergebnisse der Studie BLUE-C (2). Sie stellte einen Test vor, der eine Reihe genetischer Marker, die typisch für das kolorektale Karzinom sind, sowie Hämoglobin, im Stuhl aufspürt.
Eingeschlossen wurden über 20.000 symptomlose Amerikaner über 40 Jahren, die sich einer Routine-Koloskopie unterzogen.
Bei insgesamt 98 Teilnehmern wurde im Zuge der Koloskopie ein kolorektales Karzinom entdeckt, bei 2.144 weiteren präkanzeröse Läsionen. Dabei spürte der Stuhltest kolorektale Karzinome mit einer Sensitivität von 93,9 Prozent auf (fortgeschrittene Neoplasien: 90,6 %). Die Testempfindlichkeit auf fortgeschrittene präkanzeröse Läsionen belief sich auf 43,4 Prozent. Bei Personen mit negativer Koloskopie fiel der Test bei 7,3 Prozent falsch positiv aus.
Das bedeutet eine deutliche Verbesserung der Testempfindlichkeit verglichen mit der des FIT. Dieser wies in derselben Untersuchung eine Sensitivität von 67,3 Prozent für kolorektale Karzinome, und von 23,3 Prozent für forgeschrittene präkanzeröse Läsionen auf, sowie eine Falschpositivrate von 4,3 Prozent.
- Chung DC et al. A Cell-free DNA Blood-Based Test for Colorectal Cancer Screening. N Engl J Med. 2024 Mar 14;390(11):973-983. doi: 10.1056/NEJMoa2304714.
- Imperiale TF et al. Next-Generation Multitarget Stool DNA Test for Colorectal Cancer Screening. N Engl J Med. 2024 Mar 14;390(11):984-993. doi: 10.1056/NEJMoa2310336.
- Marbet UA et al. Dickdarmkrebsscreening in der Schweiz: Sind unsere Patienten genügend motiviert? Schweiz. Gastroenterol. 3, 110–120 (2022). Doi: 10.1007/s43472-022-00076-0
