Kinder früh ans Zähneputzen gewöhnen
Die Zahnentwicklung setzt früh ein und früh sollte auch die Kariesprophylaxe mit den Pfeilern Mundhygiene, Ernährung und Fluoriden beginnen. Kinder- und Jugendzahnärztin Dr. Juliane Keller-Erb, Zürich, erklärt, worauf bei kleinen Kindern zu achten ist, damit sie ein gesundes Gebiss entwickeln.

«Auch wenn in der Mundhöhle um die Geburt herum noch nichts zu sehen ist, tut sich im Kieferknochen, unter dem Zahnfleisch schon viel», erklärt Dr. Juliane Keller-Erb (1). So sind Teile der Kronen der Milchfrontzähne bereits gebildet, ebenso Kauflächen der ersten sowie die Höcker der zweiten Milchmolaren. Mit ca. sechs Monaten brechen die ersten Milchzähne durch.
Die Entwicklung des frühen Wechselgebisses beginnt ab etwa sechs Jahren und endet mit dem Durchbruch der Zwölfjahrmolaren, der siebten Zähne, mit etwa zwölf Jahren. Die Weisheitszähne würden mit etwa 16–18 Jahren durchbrechen, doch oftmals haben sie keinen Platz und werden in ebendiesem Alter entfernt.
Karies ist kein Schicksal
In der Praxis sagen Eltern oft, Milchzähne müssten nicht geflickt werden, weil sie sowieso ausfielen und schlechte Zähne, hinsichtlich Karies, seien genetisch bedingt. «Das sind Mythen», betont Dr. Keller-Erb. Zwar gibt es genetisch bedingte Zahnsubstanzfehlbildungen, aber diese sind selten.
Neben der Karies gibt es entwicklungsbedingte Schmelzbildungsstörungen. Doch auch in diesen Fällen können Kinder mit einer guten Mundhygiene und eingeschränktem Zuckerkonsum kariesfrei bleiben», betont sie.
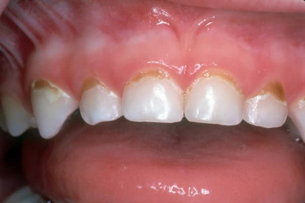
An der Oberfläche der Zähne findet ständig eine De- und Remineralisierung statt. «Nach dem Essen kommt es jeweils zur Demineralisierung, indem Plaquebakterien Säuren produzieren und der pH-Wert sinkt», erklärt sie. Diese Säuren sind die Verursacher der Karies. Diese entsteht nur, wenn man dem Schmelz keine Zeit für die Remineralisierung gibt. Das ist dann gegeben, wenn viele Zwischenmahlzeiten eingenommen werden und Bakterien immer wieder Kohlenhydrate erhalten.
Aus zahnärztlicher Sicht ist es darum fast besser, eine Packung Gummibärchen auf einmal zu essen und sich danach die Zähne zu putzen, als über den ganzen Tag verteilt immer wieder und wieder eines zu essen.
Kein Zucker, Kauen und nicht Saugen
Die Kariesprävention beginnt, bevor das Baby geboren ist. Bereits in der frühen Schwangerschaft sollten Eltern ihre Zähne kontrollieren und wenn nötig sanieren lassen. «Denn wenn die Eltern einen hohen Anteil an pathogenen Keimen in der Mundhöhle aufweisen, können diese auf das Neugeborene übertragen werden. Das kann die normale Entwicklung eines gesunden und widerstandsfähigen oralen Mikrobioms stören», erläutert Dr. Keller-Erb.
Das Neugeborene und später das Kleinkind sollte gute Gewohnheiten entwickeln. «Auf Zwischenmahlzeiten und zuckerhaltige, klebrige Nahrung sollte daher von Beginn an verzichtet werden», so Dr. Keller-Erb. Auch sollten die Kinder kauen, damit die orale Muskulatur richtig trainiert wird. Kauen fördert überdies die Produktion des Speichels, der Säuren puffert.
«Früchte sollten möglichst ganz und nicht püriert oder als Saft aufgenommen werden», so die weitere Empfehlung. Zuckerfreie Getränke – primär Wasser und ungesüsste Tees – sollten die Regel sein. «Die Kinder sollten ab einem bestimmten Alter nicht mehr aus der Saugflasche trinken, sondern aus Gefässen mit einer grossen Öffnung, damit sich unter anderem eine normale Zungenfunktion entwickeln kann. Das hat wiederum Auswirkungen auf die Entwicklung des Oberkiefers. Denn andernfalls kann es zur Entwicklung eines transversalen Kreuzbisses oder anderen Kieferfehlstellungen kommen », erklärt Dr. Keller-Erb.
Zähneputzen so normal wie Händewaschen
Mit Mundhygienemassnahmen ist zu beginnen, wenn noch keine Zähne da sind. Dafür kann man Tüchlein nehmen oder weiche Bürsten, hierbei werden einfach die Kieferkämme leicht massiert und das Kind gewöhnt sich an die Geschehnisse im Mund. «Das Zähneputzen sollte möglichst früh so normal wie Händewaschen werden», so Dr. Keller-Erb.
Die Eltern haben grundsätzlich eine wichtige Rolle als Vorbilder. Auch im Vorleben einer guten Ernährungsweise und der Mundgesundheit. Zum einen sollten sie also beim Zähneputzen ein Vorbild sein und zudem die Kinder hierbei überwachen und kontrollieren, ob sie gut geputzt haben. Ausserdem müssen die Eltern nachputzen, bis die Kinder selbst ausreichend manuelle Fähigkeiten entwickelt haben (bis ca. neun Jahre) und dazu in der Lage sind, ihre Zähne eigenverantwortlich gut zu säubern.
Zu einer guten Mundhygiene gehören Schallzahnbürsten, Zahnseide oder Interdentalbürstchen und auch die Reinigung der Zunge darf nicht zu kurz kommen.
Ist es einmal nicht möglich, nach dem Essen die Zähne zu putzen, soll der Mund zumindest mit Wasser gespült oder auch einmal ein zuckerfreier Kaugummi verwendet werden. «Die Kaugummis regen die Speichelproduktion an und wenn sie Xylit enthalten, dann hat dies noch einen zusätzlichen kariesprophylaktischen Effekt», so Dr. Keller-Erb.
Ab etwa zwei Jahren gilt die Empfehlung, die Kinder regelmässig (ein- bis zweimal pro Jahr) beim Zahnarzt vorzustellen.
Die richtige Menge an Fluoriden
Neben der Mundhygiene und der Ernährungsweise ist ein weiterer wichtiger Pfeiler der Einsatz von Fluoriden. Fluoride tragen zu einem widerstandfähigeren Schmelz bei, was die Demineralisierung nach der Nahrungsaufnahme verlangsamt. Ausserdem fördern sie die Remineralisierung und beugen so der Kariesentstehung vor. Zu einem sehr geringen Anteil hemmen sie gewisse Enzyme im Bakterienstoffwechsel, was unter anderem zur Hemmung des Plaque-Dickenwachstums führt.
Der empfohlene Mindestfluoridgehalt in Zahnpasten liegt vom ersten Milchzahn bis zum ersten bleibenden Zahn bei 500 pmm, zwischen zwei und sechs Jahren kann man auf eine Zahnpasta mit 1000 ppm wechseln. Ab dem Durchbruch des ersten bleibenden Zahnes, mit ca. sechs Jahren sind Zahnpasten mit 1500 ppm Fluorid empfohlen.
Für die korrekte Fluoridmenge ist aber nicht nur die Zahnpasta per se, sondern auch die Menge an Zahnpasta wichtig. Kinder unter sechs Jahren sollten mindestens zweimal täglich mit einer erbsengrossen Menge (bei 500 ppm) Zahnpasta putzen. Ab sechs Jahren dann mindestens zweimal täglich mit einer ca. ein Zentimeter langen «Zahnpastawurst». Ab sechs Jahren, bzw. ab dem ersten bleibenden Zahn sollte noch zusätzlich einmal pro Woche ein Fluoridgel verwendet werden.
Fluoride nicht übertreiben
Mundspülungen empfahl die Referentin nur für die Anwendung zwischendurch. Denn diese haben einen geringeren Fluorid-Gehalt als Zahnpasten. Bei Anwendung gleich nach dem Zähneputzen, kommt es zur Verdünnung des Fluorids aus der Zahnpasta, wodurch dessen Wirkung deutlich reduziert wird.
Bei Überschreiten der offiziellen Fluoridierungsempfehlungen kann es zu einer Dentalfluorose kommen. Diese kann sich als weisse Linien und Flecken oder bei der schweren Form als braune Verfärbungen, bis hin zu Schmelzfrakturen zeigen. «Aber nicht jeder weisse Fleck ist eine Fluorose», betont Dr. Keller-Erb. Je nach Symmetrie und Ausprägung kann es sich auch um eine Mindermineralisierung der Zähne, eine sogenannte Molaren-Inzisiven-Hypomineralisation handeln, oder insbesondere bei Defekten in der Front auch um die Spätfolge eines frühkindlichen Zahntraumas. Die Diagnosestellung obliegt hier den Zahnärztinnen und Zahnärzten.
«Sofern die Eltern sich an die offiziellen Fluoridierungsempfehlungen halten, besteht kein Grund zu Sorge der Überfluoridierung», erklärte die Kinder- und Jugendzahnärztin.
- Forum für medizinische Fortbildung Pädiatrie Update Refresher