Fallbericht: Riesiges retroperitoneales dedifferenziertes Liposarkom
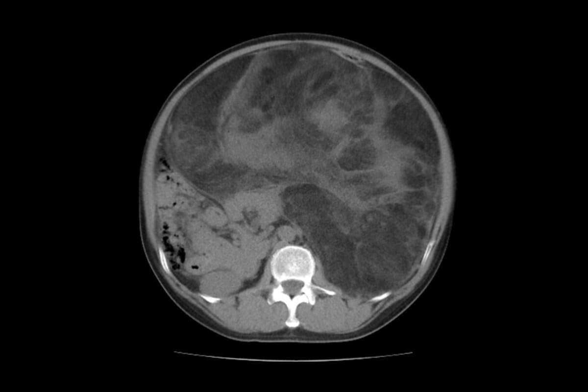
Der aussergewöhnliche Fall eines über zehn Kilogramm schweren, retroperitonealen, dedifferenzierten Liposarkoms zeigt eindrucksvoll die Herausforderungen in der Diagnostik und Therapie dieser seltenen Tumorentität, schreiben Dr. Huey Bing Chua und Kollegen, Universiti Kebangsaan, Kuala Lumpur, Malaysia, in Sec. Surgical Oncology.

Die vollständige chirurgische Entfernung erforderte eine komplexe multiviszerale Resektion und vaskuläre Rekonstruktion. Trotz eines komplikationsreichen Verlaufs konnte postoperativ eine Chemotherapie eingeleitet werden, die zu einer Tumorverkleinerung führte.
Seltene Tumoren mit komplexer Biologie und schlechter Prognose
Retroperitoneale Liposarkome gehören zu den seltensten Weichteilsarkomen und weisen eine Inzidenz von lediglich 2,5 Fällen pro eine Million Einwohner auf. Molekularbiologisch sind sie typischerweise durch Amplifikationen im Bereich 12q13–15 charakterisiert, wobei insbesondere MDM2 und CDK4 eine Rolle spielen.
- Chua HB et al. Case report: An extremely rare case of giant dedifferentiated retroperitoneal liposarcoma. Front. Oncol 2025; Sec Surgical Oncology, Vol 15: . 15:1489833; https://doi.org/10.3389/fonc.2025.1489833.
