Von Polymyalgien nicht in die Irre führen lassen

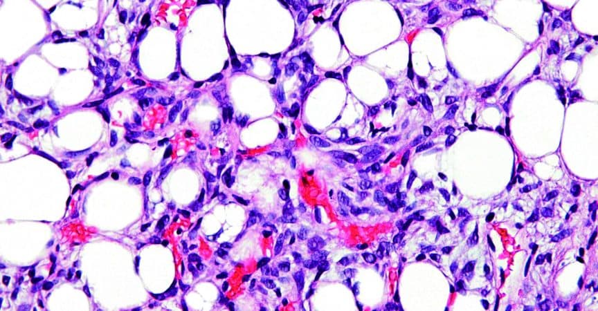
Bei dedifferenzierten Liposarkomen ist die Prognose schlecht.
Neu aufgetretene Polymyalgie beim älteren Patienten: Das ist sicher rheumatisch. Meist liegt man damit richtig, aber es könnte auch eine Tumorerkrankung dahinter stecken.
Selbst bei gutem Ansprechen auf Glukokortikoide steckt bei Patienten mit Polymyalgie-Symptomen nicht immer eine entzündlich-rheumatische Erkrankung dahinter. Das zeigt das Beispiel eines 61-jährigen Patienten.
Der Mann stellte sich wegen Myalgien in den Oberarmen und Oberschenkeln, einem Gewichtsverlust von 10 kg in drei Monaten und subfebrilen Temperaturen im Rheumazentrum Ruhrgebiet in Herne vor. Ausserdem klagte er über abdominelle Schmerzen und eine Vermehrung des Bauchumfangs, berichten Sabina Gall und ihre Kollegen. Die Muskelmasse der Arme habe seit zwei Jahren abgenommen, weshalb er keinen Sport mehr treiben könne.
Aufgrund der Beschwerden und erhöhter Entzündungsparameter (BSG, CRP) hatte man auswärts zunächst eine Polymyalgia rheumatica vermutet. Schliesslich werden neu aufgetretene proximale Muskelschmerzen bei Menschen über 55 Jahren am häufigsten durch diese Erkrankung verursacht. Für die Diagnose sprach auch, dass bei dem Patienten Symptome und Entzündungswerte unter den extern verordneten Glukokortikoiden deutlich zurückgegangen waren.
Weder Koxitis noch Bursitis trochanterica
Für die Polymyalgia rheumatica typische Veränderungen wie eine Koxitis oder Bursitis trochanterica fehlten jedoch. Stattdessen zeigte die bildgebende Diagnostik (MRT, CT) eine malignitätsverdächtige lipomatöse Raumforderung im Unterbauch, die bereits die intrapelvinen und -abdominalen Organe verdrängt hatte. Der Tumor wurde operativ entfernt und erwies sich in der Histologie als hochdifferenziertes Liposarkom. Auf eine anschliessende Chemo- und Strahlentherapie verzichtete man.
Patienten mit polymyalgischen Beschwerden, Allgemeinsymptomen (Gewichtsverlust, subfebrile Temperaturen, Abgeschlagenheit) und erhöhten Entzündungsparametern sind nach wie vor eine diagnostische Herausforderung, konstatieren die Autoren. Denn die gleiche Konstellation kann genauso im Zuge von malignen Tumoren auftreten.
Ein paraneoplastisches Geschehen sollte vor allem bei atypischem Befund in Betracht gezogen werden. Dazu zählen u.a. ein Alter unter 50 Jahre, asymmetrische Symptome, eine eindeutige periphere Arthritis und eine fehlende Kortikoidwirkung. Eine BSG unter 40 mm/h bzw. über 100 mm/h spricht ebenfalls eher für einen Tumor.
Die Autoren empfehlen, bei Patienten mit Polymyalgie-Symptomen immer nach einem Malignom zu fahnden, wofür bereits die gängigen Früherkennungsuntersuchungen (PSA-Bestimmung, Koloskopie etc.) einen wichtigen Beitrag leisten. Polymyalgische Beschwerden finden sich zudem bei einer Vielzahl anderer Erkrankungen, z.B. Vaskulitiden oder Kollagenosen. Man sollte daher auch andere entzündliche, endokrine, infektiöse oder medikamentös bedingte Gesundheitsstörungen ausschliessen.
Gall S et al. Dtsch Med Wochenschr 2020; 145: 1253–1257; doi: 10.1055/a-1173-2726.