Dysphagie-Abklärung im Überblick
Essen und Trinken scheint so einfach so sein. Doch das Schlucken ist ein komplexer Prozess, bei dem viel schief gehen kann – auch bei Kindern. Zu den möglichen Ursachen einer Dysphagie gehören Reifungsstörungen, Dysmorphien, neurologische Krankheiten und Entzündungen.

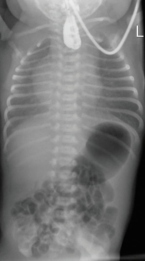
Viel Luft im Magen-Darm-Trakt aufgrund einer Ösophagusatresie.
Eine Dysphagie kann bei Kindern jeden Alters vorkommen. Die Prävalenz hat in den letzten Jahrzehnten vor allem deshalb zugenommen, weil immer mehr Frühgeborene überleben. In dieser Gruppe sind mindestens 10 % von Schluckstörungen betroffen.
Die Art der auftretenden Symptome lässt bereits grob erkennen, in welcher Phase des Schluckakts beziehungsweise an welcher Stelle das Problem liegt:
- orale Störung: fehlende oder unreife orale Reflexe, vermehrter Speichelfluss, schwaches Saugen, unkoordiniertes Beissen oder Kauen, schlechte Boluskontrolle, Eindringen von Nahrung in die Nase
- pharyngeale Störung: fehlende Koordination zwischen Saugen, Schlucken und Atmen, laryngeale Penetration/Aspiration von Nahrung, Würgen, Residuen im Pharynx, nasale Peneration/Reflux in die Nase
- ösophageale Störung: unvollständiges Abschlucken, Regurgitation unverdauter Nahrung, Schmerzen
- allgemeine Symptome unabhängig von der Lokalisation: Fütterzeit über 30–40 Minuten, Gedeihstörungen, anhaltender Appetitverlust.
Die Diagnostik und Therapie muss interdisziplinär erfolgen, schreiben Dr. Corinne Légeret von der Klinik für Kinder und Jugendliche am Kantonsspital Aarau und Kollegen. Ins Boot gehören nicht nur verschiedene Fachärzte (z.B. HNO, Kieferchirurgen, Neurologen, sondern z.B. auch Ernährungsberater, Prothetiker und Logopäden.
Die Autoren stellen vier wichtige Ursachen für Schluckstörungen bei Kindern vor.
Reifungsstörungen
Bei Kindern, die vor der 34. Gestationswoche geboren werden, ist die Koordination zwischen Saugen, Schlucken und Atmen noch nicht ausgereift. Erkennen lässt sich das z.B. an trinkassoziierten Bradykardien, Husten, Würgen oder Desaturationen. In solchen Fällen bedarf es einer zeitweisen Unterstützung durch eine Magensonde. Ansonsten sollten Sonden bei kindlichen Schluckstörungen immer die Ultima Ratio bleiben, betonten die Autoren. In die Kategorie der Reifungsstörungen fallen auch Kinder, die die Aufnahme fester Nahrung nicht lernen oder einzelne Konsistenzen verweigern.
Dysmorphien
Gaumen- und Lippenspalten führen dazu, dass ein Kind nicht genügend Druck aufbauen kann, um zu saugen. Ausserdem kommt es zur nasalen Regurgitation. Anfangs überbrückt man das Problem mit prothetischen Hilfen (z.B. einem Habermann-Sauger). Später muss operativ saniert werden. Hinter Dyspnoe und Zyanose beim Trinken steckt unter Umständen eine Choanalatresie, die mittels Bildgebung oder Endoskopie diagnostiziert wird.
Angeborene Fehlbildung im Röntgenbild erkennbar
Die Ösophagusatresie ist die häufigste angeborene Anomalie der Speiseröhre. Vermehrtes Speicheln, zyanotische Episoden und Husten weisen darauf hin. Für die Diagnose genügt eine konventionelle Radiologie ohne Kontrastmittel, da sich der Verdacht durch die typische Luftverteilung im Gastrointestinaltrakt sichern lässt (s. Abbildung). Eine Dysphagie bleibt vielfach noch nach einer Operation bestehen, da die Ösophagusmotilitätsstörung anhält und sich an der Anastomose eine Stenose bilden kann.
Neurologische Erkrankungen
Sie sind über alle Altersklassen hinweg für die meisten Schluckstörungen bei Kindern verantwortlich. Meist handelt es sich um Zerebralparesen. Zwischen dem Schweregrad der neuromotorischen Einschränkung und dem der Dysphagie gibt es eine Korrelation.
Auch die Motilitätsstörung des Ösophagus im Rahmen einer Achalasie gehört zu den neurologischen Ursachen. Sie kommt zwar bei Kindern selten vor. Aber gerade deshalb bleibt sie in dieser Altersgruppe oft lange unerkannt und wird manchmal als Essstörung (Bulimie) gewertet.
Entzündungen
Bei Kleinkindern mit Schmerzen beim Schlucken steckt meist eine Infektion, z.B. eine Stomatitis aphthosa (Herpes simplex) oder Herpangina (Coxsackie) dahinter, die man gezielt behandeln kann. Auch peritonsilläre Abszesse oder ausgedehnte tonsilläre Hyperplasien können Dysphagien verursachen. Diese Veränderungen bedürfen in der Regel der OP.
Eine gastroösophageale Refluxkrankheit äussert sich bei Säuglingen in vermehrtem Weinen, Überstrecken, Irritabilität und Nahrungsverweigerung. Später weisen chronische Nausea oder ein Klossgefühl sowie die typischen epigastrischen bzw. retrosternalen Schmerzen darauf hin.
Plötzliches Auftreten deutet auf Fremdkörperingestion
Da bei Säuglingen nicht selten eine Allergie gegen Kuhmilch-Proteine zugrunde liegt, sollte eine Formula-Nahrung ohne Kuhmilchproteine verwendet werden bzw. sich die stillende Mutter vorzugsweise kuhmilchfrei ernähren. Bei älteren Kindern lohnt der Versuch mit einem Protonenpumpenhemmer (maximal 4–8 Wochen).
Eine eosinophile Ösophagitis macht sich im Kleinkindalter mit Regurgitation, Erbrechen, Essverweigerung bis Gedeihstörung bemerkbar. Schulkinder klagen über Oberbauchschmerzen, Übelkeit, Heranwachsende über refluxartige Beschwerden, Dysphagie und Steckenbleiben von Nahrungsbrocken. Endoskopie und Biopsie führen zur Diagnose. Das auslösende Allergen ermittelt und eliminiert man schrittweise empirisch, ansonsten helfen lokale Steroide.
Komplexer Schluckakt
Der Schluckakt verläuft in vier Phasen: Der oralen Vorbereitungsphase mit Aufnahme und eventuell Zerkleinerung der Nahrung folgt die orale Phase mit Positionierung der Nahrung auf der Zunge und Auslösen des Schluckreflexes. Daran schliessen sich der pharyngeale Weitertransport mit Verschluss des Kehlkopfs und Öffnung des oberen Ösophagussphinkters und schliesslich die ösophageale Phase an, in der die Nahrung in Richtung Mageneingang weiterbefördert wird.
Bei Kleinkindern oder geistig behinderten grösseren Kindern, die plötzlich nicht mehr essen und trinken wollen, vermehrt speicheln und Schmerzen zu haben scheinen, muss auch an eine Fremdkörperingestion gedacht werden. Bildgebung mit oder ohne Kontrastmittel (je nach vermutetem Material), im Zweifelsfall die Endoskopie, führt zur Klärung. Die Autoren warnen vor verschluckten Knopfbatterien: Dieses Szenario gilt als Notfall mit sofortigem Handlungsbedarf.
Schon im Kindesalter gibt es funktionelle Beschwerden im Bereich von Pharynx und Ösophagus, die sich z.B. in einem Globussyndrom (überwiegend beim leeren Schlucken) und ständigem Räuspern äussern. Daraus kann sich eine Somatisierungsstörung entwickeln. Therapeutisch kommen kognitive Verhaltenstherapie und Entspannungstechniken zum Einsatz.
Légeret C et al. Swiss Med Forum 2020; 20: 635–639; doi: 10.4414/smf.2020.08587.