Endocardite post-TAVI : une vigilance accrue s’impose
Après implantation de valve aortique par voie percutanée (Transcatheter Aortic Valve Implantation, TAVI), des contrôles réguliers sont indispensables. Il faut notamment garder un œil sur le risque d’endocardite car cette inflammation a un « pronostic particulièrement mauvais ».
Table des matières

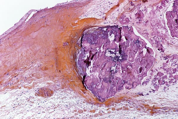
Science Photo Library/ Christol, D. / CNRI
Valve cardiaque attaquée par des streptocoques. Souvent, d’autres structures sont également touchées.
Dans un contexte d’augmentation des procédures d’implantation percutanée d’une valve aortique (TAVI) chez des patients plus jeunes, les complications d’une endocardite deviennent également plus fréquentes.
Selon des études d’observation, l’incidence moyenne est de 1,6 % par an, ce qui peut sembler peu, mais si l’on considère le nombre total d’interventions, la situation est un peu différente.
Une complication précoce mais persistante
Références
- Journées de la Société allemande de cardiologie (DGK) 2024, 26.– 28. septembre 2024, Hambourg